Представители разных народов и культур издревле отмечали сообразительность врановых, к коим относятся вороны, сороки и сойки. Однако ученым потребовалось время, чтобы подтвердить эти наблюдения.
Проверить уровень интеллекта животных и в самом деле очень трудно. Одним из методов «диагностики» является оценка умения пользоваться инструментами. Таковым считается применение какого-то объекта для физического взаимодействия с чем-либо с целью получения конкретного результата или информации об окружающей среде. Это может быть, например, изгнание муравьев из дыры в дереве с помощью листа или использование палки для почесывания. Выполнять такие манипуляции способны далеко не все животные, хотя и особой редкости в этом нет.
То, что птицы могут пользоваться инструментами, было научно доказано ещё столетие назад, однако некоторые из них способны производить и комбинировать их.

В 2002 году английские ученые описали эксперимент, в ходе которого новокаледонский ворон смастерил крючок для подъема миниатюрного ведра. Птицам предлагалось достать спрятанную в трубе кормушку, и они довольно быстро научились делать это с помощью загнутой на конце проволоки.
Прямой кусок металлического провода, также находившийся в зоне доступности, их не интересовал. Но когда один из воронов самым наглым образом украл полезный инструмент, его оставшийся без еды сородич сделал крючок из ранее прямой проволоки.
В 2018 году было сообщено о еще одном исследовании. Вороны выталкивали еду из коробки с дырками с помощью все тех же кусочков проволоки. Когда птицы привыкли кормиться таким способом, у них забрали инструменты и предложили слишком короткие предметы – их можно было использовать для добычи пищи только, если соединить вместе. И половина ворон поняла этот принцип, научившись соединять их.
По мнению ученых, это свидетельствует о наличии у данных пернатых развитых когнитивных способностей, в том числе к планированию и координации задач. Примечательно, что большинство современных людей осваивают навык создания необходимых инструментов лишь в возрасте пяти-девяти лет.

Некоторые эксперты видят у ворон даже проявления сознания. Здесь имеется в виду не просто переживание тех или иных ощущений, но и понимание их сути. Ранее считалось, что на подобный «подвиг» способны только люди и пара других млекопитающих.
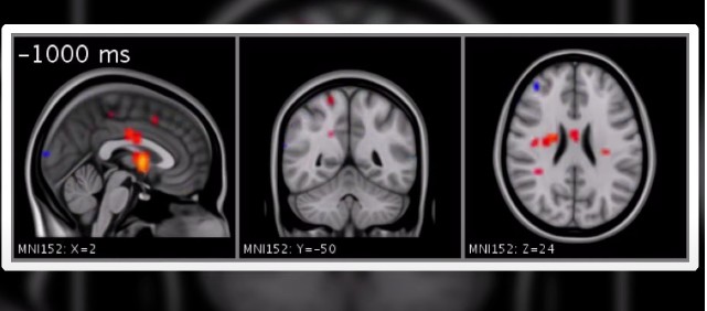
В 2020 году немецкие ученые заставили двух черных ворон рассматривать картинки. Иногда очертания на них были четкими и яркими, в других случаях блеклыми и еле различимыми, на третьем же наборе вообще ничего не было видно. Вороны были приучены демонстрировать, видят ли они что-либо или нет.

Более всего исследователей интересовало то, что происходит внутри мозга ворон. Наука с недавних пор занята активным поиском так называемых «нейронных коррелятов сознания» (НКЗ) – это наиболее примитивные механизмы, которые в совокупности обеспечивают получение конкретного осознанного опыта, данного в ощущениях. Ученые изучают их, отслеживая мозговую активность в те моменты, когда испытуемый сообщает об осознании стимула или, наоборот, о невозможности сделать это.
Ровно то же самое происходило и в данном исследовании, пусть и с представителями пернатого царства. У зрения любого животного имеется граница, вблизи которой оно иногда видит объект, а иногда нет, но здесь гораздо важнее было то, что сообщала своим дрессировщикам ворона.
Определенные нейроны реагировали сильнее, когда птица готовилась дать знак, что видит объект (независимо от того, находился ли этот предмет на демонстрационном экране). И, наоборот, клетки мозга не светились на мониторе сканера, когда ворона сообщала, что ничего не лицезреет (даже если объект показывался ей).

Исследователи сделали вывод, что нейроны, реагировавшие при положительном ответе, являются «нейронным коррелятом сознания».
Надо понимать, что существование НКЗ является дискуссионным вопросом. Однако ученые, которые признают его, считают, что корреляты проявляются в префронтальной коре. Это передняя часть мозга млекопитающих, отвечающая, в частности, за внимание, управление импульсами и гибкость мышления. Однако у птиц её нет. Похожую функцию выполняет у них каудолатеральный нидопаллий (NCL), хотя анатомически он выглядит радикально иначе.
Эта область получает сенсорные сигналы и отправляет их в моторные отделы мозга. Также она связана с кратковременной памятью, принятием решений, оценкой и подсчетом объектов.

В 1990-х годах один ученый сравнил эти различия с теми, которые мы видим у компьютеров с разной архитектурой. Мозги млекопитающих и птиц тоже устроены каждый по своему. Эти группы животных разделились около 320 миллионов лет назад, и чрезвычайно маловероятно, что присущий им ныне интеллект был ещё у их общего предка. Гораздо легче представить, что эволюция заставила их развивать сознание отдельно друг от друга, в своих нишах обитания. Интеллект имеет столь высокую ценность для сложных существ, что мозг в конечном итоге получил одни и те же способности, просто разными путями.
К приматам и врановым спокойно можно присовокупить, например, осьминогов, которые тоже весьма умны. Они также демонстрируют признаки сознания, при том, что их мозг – это вообще что-то третье после двух описанных типов. Все это, наверное, означает, что люди вовсе не такие исключительные, какими они привыкли себя считать.
Еще см. Новое в изучении поведения и когнитивных способностей врановых, .
В статье ?
Птицы семейства врановых (вороны, галки, сороки) давно поражают людей своим умом и сообразительностью. Нейробиологи из Тюбингена Лена Вайт (Lena Veit) и Андреас Нидер (Andreas Nieder) нашли нейронную "базу" способности этих птиц принимать сложные решения.
Каковая нейрофизиологическая основа сообразительности врановых?Вороны могут изготавливать и использовать орудия, помнить местоположение десятков источников корма, планировать свое поведение в зависимости от поступков других птиц в стае. За эти поразительные способности биологи называют их "пернатыми приматами". Такой высокий уровень интеллекта поражает тем более, что птичий мозг устроен принципиально по другому, чем у млекопитающих.
Тюбингенцы научили чёрных ворон (Corvus corone) решать на компьютере задачки на память. Птицам показывали картинку, которую они должны были запомнить. Через некоторое время им надо было выбрать на тачскрине одно из двух изображений, стукнув по нему клювом (одна из картинок совпадала с первой, другая - нет). Иногда по правилам игры надо было выбрать одинаковую картинку, иногда - отличающуюся. Вороны смогли выполнить оба задания - и даже переключаться с одного на другое по желанию ученых. Немного животных способны на такую концентрацию и гибкость ума!
И даже получая новые картинки, вороны не терялись и отлично выполняли задания. Тем временем исследователи замеряли активность нейронов в каудолатеральном нидопаллиуме - области мозга, которая у птиц отвечает за высшие познавательные процессы. Одна группа клеток "включалась" только когда от ворон требовалось выбирать одинаковую с первой картинку, а другая - когда отличающуюся. По этим клеткам ученые могли предсказать, как думает птица, еще до того, как та стукала клювом по экрану.
Каковая нейрофизиологическая основа сообразительности врановых?
Это исследование заставляет задуматься о параллельной эволюции разумного поведения. "Многие функции реализуются у птиц иным образом, так как нас отделяет от этих потомков динозавров долгая эволюционная история. Мозг птиц показывает нам, как разумное поведение обеспечивается иным анатомическим устройством", - говорит Лена Вайт. У ворон и приматов - разные мозги, но отвечающие за принятие решений клетки очень похожи. "Крылья птиц и летучих мышей устроены совершенно по-разному, но подчиняются одним и тем же законам аэродинамики. Аналогичным образом, мы можем делать выводы о работе мозга, изучив функциональные различия и сходные черты соответствующих участков мозгов птиц и млекопитающих", - заявил профессор Нидер.
Исследование представлено в журнале .
По материалам .
P.S.
Птичий нидопаллиум - это область кортикального верхнего мозга переднего мозга птицы, которая сама по себе подразделяется на более мелкие области в результате дальнейшей функциональной локализации. Он был распределен вдоль рострокаудальной (переднезадней) оси на три гипотетических сегмента: ростральный, промежуточный и каудальный нидопаллиум.[1] Эти три области сами по себе разделены на трихотомии: каудальный нидопаллиум, например, объединяет каудоцентральный (NCC), каудомедиальный (NCM) и каудолатеральный (NCL) нидопаллиум. Это nidopallium caudolaterale, который, как считается, выполняет многие сложные когнитивные функции более высокого порядка у птиц. Рехкампер и др. (1985) дополнительно разделили нидопаллиум на 16 отдельных секций (отличающихся разной плотностью клеток в этих областях), хотя ранее указанные анатомические подразделения общеприняты для большинства целей разграничения различных функциональных специализаций нидопаллиума.
Было проведено одно исследование, чтобы продемонстрировать, что эта область на самом деле во многом аналогична префронтальной коре млекопитающих - области мозга, покрывающей наиболее ростральную часть лобной доли, ответственной за более сложное когнитивное поведение у млекопитающих, таких как человек.[4] Целью эксперимента было измерение плотности различных рецепторов нейротрансмиттеров как в NCL птиц, так и в префронтальной коре человека с использованием количественной авторадиографиирецепторов in vitro. Было обнаружено, что NCL содержал меньшие абсолютные количества этих нейронных рецепторов. Однако эксперимент также показал, что относительные плотности этих рецепторов в обоих организмах были удивительно схожи. Из этого, возможно, следует, что способность к таким сложным психическим процессам в этих структурах зависит от архитектуры рецепторов нейронов, которые их составляют. Итак, несмотря на то, что нидопаллиум и префронтальная кора эволюционировали отдельно (обоснованное предположение), оба достигли сходных функций мыслительных процессов более высокого порядка посредством конвергентной эволюции, в результате влияний на молекулярном уровне.
Миграция - один из многих сложных поведенческих процессов, управляемых нидопаллиумом у птиц. Исследования показали, что во время миграционного перелета происходит значительный набор нейронов в эту область мозга птиц с целью повышения когнитивных способностей нидопаллиума. В результате птицы извлекают выгоду из улучшенных навигационных возможностей во время миграции, вызванных значительными изменениями пространственных сенсорных стимулов.[7] Это отличный пример нейропластичности в птичьем мозге, и он использовался для расширения нашего понимания нидопаллиума. Экспериментальный метод аналогичен методу анализа дефицита поражений, при котором ученые изучают недостатки пациентов с определенными поражениями головного мозга, чтобы определить функцию пораженной части мозга. В качестве альтернативы, в эксперименте по миграции птиц удалось проанализировать роль нидопаллиума, поскольку его функциональные возможности были увеличены, а не уменьшены.